Skip to Content
800-533-8762
  • Careers
  • Newsroom
  • Health Care Professionals
  • About Us
  • Contact Us
UPMC
  • Find a Doctor
  • Conditions
  • Services
    • Frequently Searched Services
    • Frequently Searched Services
      Allergy & Immunology Behavioral & Mental Health Cancer Ear, Nose & Throat Endocrinology Gastroenterology Heart & Vascular Imaging Neurosciences Orthopaedics
      Physical Rehabilitation Plastic & Reconstructive Surgery Primary Care Senior Services Sports Medicine Telemedicine Transplant Surgery Walk-In Care Weight Management Women’s Health
      See all Services
    • Services by Region
    • Find a UPMC health care facility close to you quickly by browsing by region.
      UPMC in Western Pa. Western Pa. and New York
      Highlighted Regional Map of UPMC in Central Pa. Central Pa.
      UPMC in North Central Pa. North Central Pa.
      UPMC in Western Md. Maryland & West Virginia
    • See All Services
  • Locations
    • Locations by Type
    • Locations by Type
      UPMC hospitals
      Hospitals
      Physical Therapy
      Physical Therapy
      Urgent care
      Walk-In Care
      UPMC Outpatient Centers
      Outpatient Centers
      UPMC Imaging Services
      Imaging
      Community Health Centers
      Community Health Centers
      See All Locations
    • Locations by Region
    • Locations by Region
      UPMC in Southwest Pa. Southwest Pa.
      UPMC in North Central Pa. North Central Pa.
      UPMC in Northwest Pa and Ny. Northwest Pa. & Western N.Y.
      UPMC in West Central Pa. West Central Pa.
      Highlighted Regional Map of UPMC in Central Pa. Central Pa.
      UPMC in Western Md. Maryland & West Virginia
    • See All Locations
  • Patients & Visitors
    • Patient & Visitor Resources
    • Patient & Visitor Resources
      Patients and Visitors Resources Pay a Bill Classes & Events Health Library International Traveling Patients Medical Records
      Patient Information Patient Portals Privacy Information Shared Decision Making Visitor Information
      Man uses mobile phone
      Pay a Bill
      Nurse reviews medical chart
      Request Medical Records
  • Patient Portals
  • Find Covid-19 updates
  • Schedule an appointment
  • Request medical records
  • Pay a bill
  • Learn about financial assistance
  • Find classes & events
  • Send a patient an eCard
  • Make a donation
  • Volunteer
  • Read HealthBeat blog
  • Explore UPMC Careers
Skip to Content
UPMC
  • Find a Doctor
    • Doctor Search
  • Conditions
    • Search Conditions We Treat
  • Services
    • Frequently Searched Services
      • Heart and Vascular Services
      • Neurosciences Services
      • Orthopaedics Services
      • Primary Care Services
      • Spine Care Services
      • Sports Medicine Services
      • Transplant Services
      • Women's Health Services
      • See all Services
    • Services by Region
      • Find Care in Western Pa
      • Find Care in Central Pa
      • Find Care in North Central Pa
      • Find Care in Western Maryland
    • See All Services
  • Locations
    • Locations by Type
      • Hospitals
      • Walk-In Care
      • Imaging
      • Physical Therapy
      • Outpatient
      • Community Health Centers
      • See All Locations
    • Locations by Region
      • Central Pa.
      • Maryland and West Virginia
      • North Central Pa.
      • Northwest Pa. & Western N.Y.
      • Southwest Pa.
      • West Central Pa.
    • See All Locations
  • Patients & Visitors
    • Patient & Visitor Resources
      • Pay a Bill
      • Classes & Events
      • Health Library
      • International Traveling Patients
      • Medical Records
      • Patient Information
      • Patient Portals
      • Privacy Information
      • Shared Decision Making
      • Visitor Information
      • View All Patients and Visitors Resources
  • I Want To
    • Find Covid-19 updates
    • Schedule an appointment
    • Request medical records
    • Pay a bill
    • Learn about financial assistance
    • Find classes & events
    • Send a patient an eCard
    • Make a donation
    • Volunteer
    • Read HealthBeat blog
    • Explore UPMC Careers
  • Patient Portals
  • Careers
  • Contact Us
  • Newsroom
  • UPMC >
  • Our Services >
  • Neurosurgery >
  • ... >
  • Brain >
  • Treatments >
  • Endoscopic Endonasal Approach >
  • EEA Clinical Case Studies
Neurosurgery
About Us
Contact Us
Conditions and Treatments
Brain
Conditions
Treatments
Endoscopic Endonasal Approach
Conditions Treated
EEA Breakthroughs
EEA Clinical Case Studies
Trigeminal Schwannoma 360° Surgery
Arthritic Breakdown in Upper Cervical Spine
Olfactory Groove Meningioma
Benefits
EEA FAQs
Teaching and Research
Image Guided Neurosurgery
Transorbital Approach
Gamma Knife Radiosurgery
Neuroendoport Surgery
Microsurgery
Endovascular Surgery
Microvascular Decompression
Movement Disorders & Epilepsy Treatments
Brain Mapping
Spine Neurosurgery
Neurophysiology
Meet the Neurosurgery Experts
Patient Stories
Classes, Events, & News
Neurocirugia
Neurosurgery
About Us
Contact Us
Conditions and Treatments
Brain
Conditions
Treatments
Endoscopic Endonasal Approach
Conditions Treated
EEA Breakthroughs
EEA Clinical Case Studies
Trigeminal Schwannoma 360° Surgery
Arthritic Breakdown in Upper Cervical Spine
Olfactory Groove Meningioma
Benefits
EEA FAQs
Teaching and Research
Image Guided Neurosurgery
Transorbital Approach
Gamma Knife Radiosurgery
Neuroendoport Surgery
Microsurgery
Endovascular Surgery
Microvascular Decompression
Movement Disorders & Epilepsy Treatments
Brain Mapping
Spine Neurosurgery
Neurophysiology
Meet the Neurosurgery Experts
Patient Stories
Classes, Events, & News
Neurocirugia

Endoscopic Endonasal Approach (EEA) Clinical Case Studies

Learn how UPMC neurosurgeons have used the Endoscopic Endonasal Approach (EEA) to remove difficult tumors and lesions from the skull base — through the nose and sinuses.

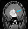
trigeminal-schwannoma-scan

Trigeminal Schwannoma

Scans of a 17-year-old girl who complained of headaches showed a large trigeminal schwannoma at the base of the skull. The tumor had two portions, separated by the petrous bone and the brain covering. Read how UPMC surgeons were able to avoid any damage to the nerves in and around the petrous bone and the carotid artery by using several techniques, including EEA, to completely remove the tumor.

» Read full case study


arthritic-breakdown-in-upper-cervical-spine-scan

Arthritic Breakdown in Upper Cervical Spine

An elderly woman with arthritic breakdown at the top of her spine may have faced traditional surgery, including a tracheotomy and an incision in the back of the throat that would have kept her from eating right after surgery and potential long-term problems with swallowing. Read how UPMC surgeons performed surgery using EEA to remove the bone that was pressing on the patient's spinal cord, which allowed the patient to start eating the day after surgery.

» Read full case study


olfactory-groove-meningioma-scan

Olfactory Groove Meningioma

Traditional surgery for an olfactory groove meningioma would require a long scalp incision and lifting the front of the brain to get to the tumor. In the case of a 35-year-old woman experiencing headache and vision loss from pressure and swelling in her brain, the tumor, because of its height, required a long reach to the top of the tumor. Read how UPMC surgeons used EEA to remove the tumor without lifting the brain.

» Read full case study

Contact the UPMC Department of Neurosurgery

To make an appointment or learn more:

  • Call us at 1-412-647-3685 or outside the U.S., call 1-877-320-8762.
  • Fill out our UPMC Neurosurgery contact form.

Quick Links

  • Patient Stories
  • For Pediatric Patients
  • Legacy of Innovation
UPMC
200 Lothrop Street Pittsburgh, PA 15213

412-647-8762 800-533-8762

Patients And Visitors
  • Find a Doctor
  • Locations
  • Pay a Bill
  • Patient & Visitor Resources
  • Disabilities Resource Center
  • Services
  • Medical Records
  • No Surprises Act
  • Price Transparency
  • Financial Assistance
  • Classes & Events
  • Health Library
Health Care Professionals
  • Physician Information
  • Resources
  • Education & Training
  • Departments
  • Credentialing
Newsroom
  • Newsroom Home
  • Inside Life Changing Medicine Blog
  • News Releases
About
  • Why UPMC
  • Facts & Stats
  • Supply Chain Management
  • Community Commitment
  • Financials
  • Supporting UPMC
  • HealthBeat Blog
  • UPMC Apps
  • UPMC Enterprises
  • UPMC Health Plan
  • UPMC International
  • Nondiscrimination Policy
Life changing is...
Follow UPMC
  • Contact Us
  • Website/Email Terms of Use
  • Medical Advice Disclaimer
  • Privacy Information
  • Active Privacy Alerts
  • Sitemap
© 2026 UPMC I Affiliated with the University of Pittsburgh Schools of the Health Sciences Supplemental content provided by WebMD Ignite. To learn more, visit webmdignite.com.
Find Care
Providers
Video Visit
Portal Login

Chat Keywords List

  • cancel or exit: Stops your conversation
  • start over: Restarts your current scenario
  • help: Shows what this bot can do
  • terms: Shows terms of use and privacy statement
  • feedback: Give us feedback
Continue
Chat with UPMC
RESTART
MENU
CLOSE