Skip to Content
800-533-8762
  • Careers
  • Newsroom
  • Health Care Professionals
  • About Us
  • Contact Us
UPMC
  • Find a Doctor
  • Conditions
  • Services
    • Frequently Searched Services
    • Frequently Searched Services
      Allergy & Immunology Behavioral & Mental Health Cancer Ear, Nose & Throat Endocrinology Gastroenterology Heart & Vascular Imaging Neurosciences Orthopaedics
      Physical Rehabilitation Plastic & Reconstructive Surgery Primary Care Senior Services Sports Medicine Telemedicine Transplant Surgery Walk-In Care Weight Management Women’s Health
      See all Services
    • Services by Region
    • Find a UPMC health care facility close to you quickly by browsing by region.
      UPMC in Western Pa. Western Pa. and New York
      Highlighted Regional Map of UPMC in Central Pa. Central Pa.
      UPMC in North Central Pa. North Central Pa.
      UPMC in Western Md. Maryland & West Virginia
    • See All Services
  • Locations
    • Locations by Type
    • Locations by Type
      UPMC hospitals
      Hospitals
      Physical Therapy
      Physical Therapy
      Urgent care
      Walk-In Care
      UPMC Outpatient Centers
      Outpatient Centers
      UPMC Imaging Services
      Imaging
      Community Health Centers
      Community Health Centers
      See All Locations
    • Locations by Region
    • Locations by Region
      UPMC in Southwest Pa. Southwest Pa.
      UPMC in North Central Pa. North Central Pa.
      UPMC in Northwest Pa and Ny. Northwest Pa. & Western N.Y.
      UPMC in West Central Pa. West Central Pa.
      Highlighted Regional Map of UPMC in Central Pa. Central Pa.
      UPMC in Western Md. Maryland & West Virginia
    • See All Locations
  • Patients & Visitors
    • Patient & Visitor Resources
    • Patient & Visitor Resources
      Patients and Visitors Resources Pay a Bill Classes & Events Health Library International Traveling Patients Medical Records
      Patient Information Patient Portals Privacy Information Shared Decision Making Visitor Information
      Man uses mobile phone
      Pay a Bill
      Nurse reviews medical chart
      Request Medical Records
  • Patient Portals
  • Find Covid-19 updates
  • Schedule an appointment
  • Request medical records
  • Pay a bill
  • Learn about financial assistance
  • Find classes & events
  • Send a patient an eCard
  • Make a donation
  • Volunteer
  • Read HealthBeat blog
  • Explore UPMC Careers
Skip to Content
UPMC
  • Find a Doctor
    • Doctor Search
  • Conditions
    • Search Conditions We Treat
  • Services
    • Frequently Searched Services
      • Heart and Vascular Services
      • Neurosciences Services
      • Orthopaedics Services
      • Primary Care Services
      • Spine Care Services
      • Sports Medicine Services
      • Transplant Services
      • Women's Health Services
      • See all Services
    • Services by Region
      • Find Care in Western Pa
      • Find Care in Central Pa
      • Find Care in North Central Pa
      • Find Care in Western Maryland
    • See All Services
  • Locations
    • Locations by Type
      • Hospitals
      • Walk-In Care
      • Imaging
      • Physical Therapy
      • Outpatient
      • Community Health Centers
      • See All Locations
    • Locations by Region
      • Central Pa.
      • Maryland and West Virginia
      • North Central Pa.
      • Northwest Pa. & Western N.Y.
      • Southwest Pa.
      • West Central Pa.
    • See All Locations
  • Patients & Visitors
    • Patient & Visitor Resources
      • Pay a Bill
      • Classes & Events
      • Health Library
      • International Traveling Patients
      • Medical Records
      • Patient Information
      • Patient Portals
      • Privacy Information
      • Shared Decision Making
      • Visitor Information
      • View All Patients and Visitors Resources
  • I Want To
    • Find Covid-19 updates
    • Schedule an appointment
    • Request medical records
    • Pay a bill
    • Learn about financial assistance
    • Find classes & events
    • Send a patient an eCard
    • Make a donation
    • Volunteer
    • Read HealthBeat blog
    • Explore UPMC Careers
  • Patient Portals
  • Careers
  • Contact Us
  • Newsroom
  • UPMC >
  • Our Services >
  • Neurosurgery >
  • ... >
  • Brain >
  • Treatments >
  • Neuroendoport Surgery >
  • Clinical Case Studies
Neurosurgery
About Us
Contact Us
Conditions and Treatments
Brain
Conditions
Treatments
Endoscopic Endonasal Approach
Image Guided Neurosurgery
Transorbital Approach
Gamma Knife Radiosurgery
Neuroendoport Surgery
Conditions Treated
Clinical Case Studies
Colloid Cyst
Glioblastoma
Metastatic Breast Cancer
Intraventricular Tumor
Recurrent Intraventricular Meningioma
Benefits
Neuroendoport FAQs
Microsurgery
Endovascular Surgery
Microvascular Decompression
Movement Disorders & Epilepsy Treatments
Brain Mapping
Spine Neurosurgery
Neurophysiology
Meet the Neurosurgery Experts
Patient Stories
Classes, Events, & News
Neurocirugia
Neurosurgery
About Us
Contact Us
Conditions and Treatments
Brain
Conditions
Treatments
Endoscopic Endonasal Approach
Image Guided Neurosurgery
Transorbital Approach
Gamma Knife Radiosurgery
Neuroendoport Surgery
Conditions Treated
Clinical Case Studies
Colloid Cyst
Glioblastoma
Metastatic Breast Cancer
Intraventricular Tumor
Recurrent Intraventricular Meningioma
Benefits
Neuroendoport FAQs
Microsurgery
Endovascular Surgery
Microvascular Decompression
Movement Disorders & Epilepsy Treatments
Brain Mapping
Spine Neurosurgery
Neurophysiology
Meet the Neurosurgery Experts
Patient Stories
Classes, Events, & News
Neurocirugia

Neuroendoport® Clinical Case Studies

UPMC has conducted several neurosurgical case studies using the Neuroendoport procedure. Learn how UPMC neurosurgeons have removed deep brain tumors and cysts through the Neuroendoport — a narrow tube the circumference of a dime. This innovative technique minimizes trauma to the brain and surrounding nerve tissues.

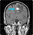
Colloid Cyst X Ray

Neuroendoport Surgery for Colloid Cyst

With a large colloid cyst of the third ventricle, a 41-year-old veteran suffered from unremitting headaches, confusion, and fainting spells. Read how UPMC surgeons used Neuroendoport surgery to completely remove the cyst and bring immediate relief to the patient.

» Read full case study


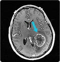
Glioblastoma X Ray

Neuroendoport Surgery for Glioblastoma

With a lesion covering a large amount of functional brain cortex, critical for speech function, a woman faced standard brain surgery requiring a large opening in the dura (brain covering), and lowering her chances of ever regaining speech function. Read how UPMC surgeons used Neuroendoport surgery to remove the 4 cm glioblastoma, restoring speech function.

» Read full case study


Frontal Lobe X Ray

Neuroendoport Surgery for Metastatic Breast Cancer to the Frontal Lobe

With a tumor in her brain’s deep frontal region, a 52-year-old woman suffered from weakness and speech problems. A large opening or brain dissection would risk worsening of her weakness and an inability to recover her speech. Read how UPMC surgeons used Neuroendoport surgery to remove the tumor and how the patient recovered.

» Read full case study


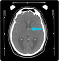
Intraventricular Tumor X RayNeuroendoport Surgery for Intraventricular Tumor(Subependymoma)

With an intraventricular tumor nearly two inches in diameter, a 47-year-old man suffered from relentless headaches, confusion, and visual disturbances. Read how UPMC surgeons used Neuroendoport surgery, with minimal manipulation of the surrounding brain, to relieve the patient’s symptoms and preserve his speech and vision.

» Read full case study


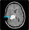
Recurrent Intraventricular Meningioma X Ray

Neuroendoport Surgery for Recurrent Intraventricular Meningioma

With a tumor the size of a racquetball in her ventricle, a 45-year-old woman suffered progressive headaches and numbness on the left side of her body. Read how UPMC surgeons combined Neuroendoport surgery with radiosurgery to return the patient to normal function.

» Read full case study

Contact the UPMC Department of Neurosurgery

To make an appointment or learn more:

  • Call us at 1-412-647-3685 or outside the U.S., call 1-877-320-8762.
  • Fill out our UPMC Neurosurgery contact form.

Quick Links

  • Patient Stories
  • For Pediatric Patients
  • Legacy of Innovation
UPMC
200 Lothrop Street Pittsburgh, PA 15213

412-647-8762 800-533-8762

Patients And Visitors
  • Find a Doctor
  • Locations
  • Pay a Bill
  • Patient & Visitor Resources
  • Disabilities Resource Center
  • Services
  • Medical Records
  • No Surprises Act
  • Price Transparency
  • Financial Assistance
  • Classes & Events
  • Health Library
Health Care Professionals
  • Physician Information
  • Resources
  • Education & Training
  • Departments
  • Credentialing
Newsroom
  • Newsroom Home
  • Inside Life Changing Medicine Blog
  • News Releases
About
  • Why UPMC
  • Facts & Stats
  • Supply Chain Management
  • Community Commitment
  • Financials
  • Supporting UPMC
  • HealthBeat Blog
  • UPMC Apps
  • UPMC Enterprises
  • UPMC Health Plan
  • UPMC International
  • Nondiscrimination Policy
Life changing is...
Follow UPMC
  • Contact Us
  • Website/Email Terms of Use
  • Medical Advice Disclaimer
  • Privacy Information
  • Active Privacy Alerts
  • Sitemap
© 2026 UPMC I Affiliated with the University of Pittsburgh Schools of the Health Sciences Supplemental content provided by WebMD Ignite. To learn more, visit webmdignite.com.
Find Care
Providers
Video Visit
Portal Login

Chat Keywords List

  • cancel or exit: Stops your conversation
  • start over: Restarts your current scenario
  • help: Shows what this bot can do
  • terms: Shows terms of use and privacy statement
  • feedback: Give us feedback
Continue
Chat with UPMC
RESTART
MENU
CLOSE