Dilated cardiomyopathy (DCM) is a disease of the heart muscle. It occurs when the heart’s main pumping chambers — mostly the left ventricle — become enlarged and weakened. When this happens, the heart can’t pump blood as effectively as it should.
On this page:
What Is Dilated Cardiomyopathy (DCM)?
In DCM the heart's chambers dilate or get wider. When this happens, the heart can't pump blood as it should.
Image of a normal heart

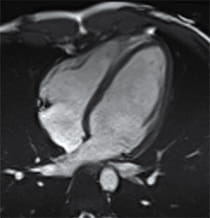
Image of a heart with dilated cardiomyopathy

What are the types of DCM?
- Familial DCM. In this type, there are changes in the genes (mutations) that make certain proteins that control how the heart functions. Over time, these gene changes cause the heart muscle to weaken, leading to dilated cardiomyopathy. These gene changes can be inherited from parent to child. Therefore, it is important to determine if the cause of your DCM is secondary to gene changes.
What causes DCM?
- Heart attack.
- Heart valve problem.
- Familial or inherited (genetic).
- Chemotherapy.
- Infections.
In others, lifestyle choices cause DCM, like:
- Using drugs.
- Drinking alcohol.
- Eating an unhealthy diet.
What Are the Signs and Symptoms of DCM?
Not everyone who has DCM has symptoms. You might have the disease and not know it.
Let your doctor know if you have the following symptoms:
- Extreme tiredness, or fatigue.
- Trouble breathing.
- Shortness of breath when you exercise or exert yourself.
- Swelling in some parts of the body.
Also, talk with your doctor if you have family members who've had:
They can help you make lifestyle changes that support your heart's health.
How Do You Diagnose Dilated Cardiomyopathy?
When you visit UPMC, you'll meet with a heart specialist and genetic counselor. They will assess and screen you to learn more about heart disease in your family.
Doctors use a few tests to diagnose DCM:
- Genetic tests.
- Blood tests.
- Echocardiogram, or an ultrasound image of the heart.
- MRI of the heart.
- Heart catheterization, a test that uses injected dye to see how blood flows to the heart.
How Do You Treat DCM?
Our inherited heart disease experts work with you to design a DCM treatment plan tailored to you.
Lifestyle Changes
Your doctor might suggest lifestyle changes, such as:
- Eating a healthy diet.
- Being more active.
- Controlling high blood pressure.
Medicine to treat DCM
Your doctor might prescribe drugs to:
- Control or improve how your heart beats.
- Manage how your blood flows.
Surgery for DCM
If lifestyle changes or medicine don't help your condition, you might need:
- Heart surgery.
- Ablation to correct abnormal heart rhythms.
- Implanted devices that regulate your heartbeat.
- Heart transplant.